放射線治療科
世界初の動体追尾機能を搭載した高精画像誘導放射線治療装置である三菱重工製Vero4DRTを導入し、 高精度放射線治療を手軽に受けられるのが最大の特色です。
診療時間
放射線治療科
| 月 | 火 | 水 | 木 | 金 | 土 | ||
|---|---|---|---|---|---|---|---|
| 午前 | 1診 | 廣瀬 | 廣瀬 | 廣瀬 | 廣瀬 | 廣瀬 | - |
| 2診 | 金重総 | 金重総 | 金重総 | 金重総 | 金重総 | - | |
| 午後 | 1診 | 廣瀬 | - | 廣瀬 | 廣瀬 | 廣瀬 | - |
| 2診 | 金重総 | 金重総 | 金重総 | 金重総 | 金重総 | - | |
特徴
当院では、国産の放射線治療装置Vero4DRTを導入し、高精度放射線治療を行っています。位置決め画像の撮影から治療までを効率よく行うことで、短時間で精度の高い治療を受けていただけることが大きな特長です。
放射線治療は、全身のさまざまな部位のがんに対して身体への負担を抑えながら行える治療です。当科では、前立腺がんや乳がんを中心に、多くの症例に対応しています。
がん治療は、手術療法・放射線療法・化学療法を組み合わせて行うことが一般的です。当院では、各診療科と密に連携し、患者さん一人ひとりの病状に応じた治療方針を検討しています。
放射線治療科のある西館では、1階に放射線治療科・泌尿器科・緩和ケア科、2階に化学療法室を配置し、がん治療に必要な診療の多くを同一建物内で完結できる体制としています。院内での移動負担を最小限に抑えられるよう配慮しています。
また、放射線治療は身体への負担が比較的少ないため、多くの方が外来通院で治療を受けられています。仕事の前後や合間を縫って通院される方も多く、日常生活を続けながら治療を行うことが可能です。受付から会計までを西館内で完結できる動線とし、通院時の負担軽減にも努めています。
当院では、がん検診から総合的がん治療、緩和ケアまで「がん治療の連続性」を保つための機能的な体制づくりを心がけております。
放射線がん治療センターの治療方針について
がんの治療には、手術、放射線治療、化学療法と大きく分けて3種類あり、三本柱と呼ばれています。
化学療法が全身的治療であるのに対し、手術と放射線治療はがん病巣とその周辺を治療する局所治療です。
がん治療は三本柱のどれか一つを選ぶという訳ではありません。
最大の効果と最小の副作用を目指す効率的な治療のことを「集学的治療」と呼び、今日のがん治療においては欠かす事の出来ない概念となっています。
当センターでは1階に日本で6番目、中四国地方では初めてとなる高精度放射線治療装置(三菱重工製、Vero4DRT)を導入した放射線治療フロア、2階に20床のベッドを有した化学療法フロアを用意しています。
岡山中央病院内の診療科や地域のがん診療連携拠点病院、がん診療連携推進病院の診療科と連携し、手術も含めた「集学的治療」を地域と連携して提供していきます。
また、放射線治療は緩和医療としても有効な機能の一つです。がんが骨に転移しておこる痛みや、脳転移による麻痺などの神経症状に対して、放射線治療は迅速かつ強力に症状緩和をもたらすことが可能です。当センターでは緩和ケアチームとも連携し、緩和治療も含めたがん治療のトータルケアを提供します。
放射線治療装置の特徴
放射線治療機 三菱重工製Vero4DRTは、脳や、肺、肝臓に対する定位放射線治療(ピンポイント治療)や、前立腺に対するIMRT(強度変調放射線治療:Intensity Modulated Radiation Therepy)を得意とした高精度放射線治療装置です。
ピンポイント照射により、正常な臓器に放射線をなるべく当てる事なく治療が行えます。
さらに、治療機に備えられた最新のIGRT(Image Guided Radition Therapy)機能により、照射前の位置誤差を瞬時に補正することができ、高精度な患者位置合わせをスピーディーに行うことができます。
また、装置自体が旋回するため、患者さんを動かすことなく、あらゆる方向から危険臓器を避けた照射が可能です。
これらの機能により患者様のご負担の軽減短時間で高精度な治療を、より少ない副作用で行うことができます。
対象となる部位・がん
・前立腺がん、脳腫瘍、肺がん、乳がん、肝胆膵がん、骨腫瘍など(病状によっては適応とならない場合もあります)
・骨転移の痛み、脳転移によりう麻痺など神経症状緩和
放射線治療科ドクターの紹介
実績
| 治療部位別患者数 | 2018年 | 2019年 | 2020年 | 2021年 | 2022年 | 2023年 | 2024年 |
|---|---|---|---|---|---|---|---|
| 乳がん | 69 | 50 | 74 | 76 | 63 | 58 | 83 |
| 泌尿器系腫瘍 | 61 | 52 | 63 | 73 | 82 | 96 | 102 |
| 脳・脊椎腫瘍 | 1 | 7 | 6 | 3 | 1 | 1 | 0 |
| 頭頸部腫瘍 | 2 | 1 | 3 | 2 | 4 | 1 | 1 |
| 食道がん | 0 | 1 | 2 | 1 | 2 | 1 | 0 |
| 肺がん、気管・縦隔腫瘍 | 13 | 12 | 9 | 13 | 11 | 2 | 5 |
| 胃・小腸・結腸・直腸がん | 9 | 7 | 8 | 6 | 8 | 6 | 9 |
| 肝・胆・膵がん | 3 | 2 | 3 | 4 | 4 | 0 | 4 |
| 皮膚・骨・軟部腫瘍 | 2 | 8 | 0 | 6 | 4 | 1 | 0 |
| 婦人科腫瘍 | 2 | 3 | 3 | 0 | 0 | 2 | 2 |
| 造血器リンパ系腫瘍 | 2 | 0 | 2 | 4 | 2 | 2 | 1 |
| 良性疾患 | 0 | 1 | 0 | 0 | 0 | 0 | 0 |
| その他悪性腫瘍 | 1 | 1 | 7 | 0 | 3 | 1 | 1 |
| IMRT(強度変調放射線治療) | 2018年 | 2019年 | 2020年 | 2021年 | 2022年 | 2023年 | 2024年 |
|---|---|---|---|---|---|---|---|
| 泌尿器系腫瘍 | 41 | 31 | 39 | 30 | 43 | 54 | 55 |
| その他 | 4 | 7 | 6 | 1 | 1 | 4 | 1 |
| 内用療法 | 2018年 | 2019年 | 2020年 | 2021年 | 2022年 | 2023年 | 2024年 |
|---|---|---|---|---|---|---|---|
| ゾーフィゴ | 16 | 5 | 6 | 6 | 11 | 13 | 25 |
| 定位照射 | 2018年 | 2019年 | 2020年 | 2021年 | 2022年 | 2023年 | 2024年 |
|---|---|---|---|---|---|---|---|
| 脳 | 7 | 2 | 5 | 4 | 4 | 1 | 3 |
| 体幹部 | 10 | 6 | 7 | 8 | 12 | 11 | 19 |
主な病名・治療法
前立腺がんへの放射線治療
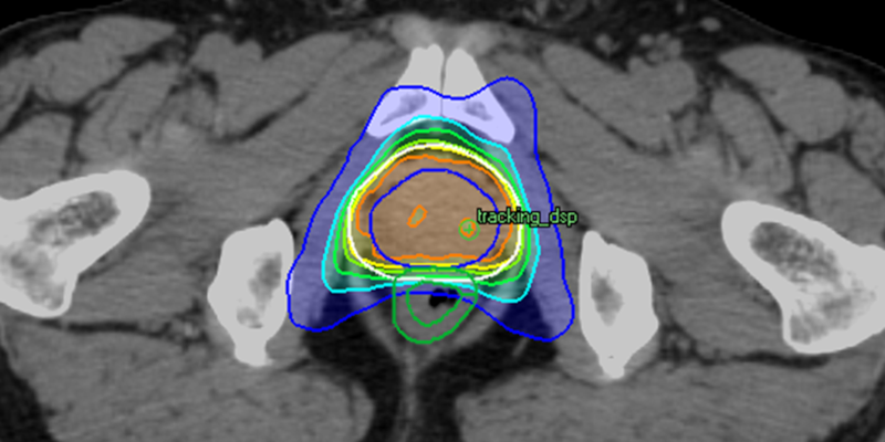
当院では、前立腺がんに対してIMRT、VMAT、さらにVMATを発展させたDWAを用いて高精度で身体への負担が少ない放射線治療を行っています。 現在はDWAを主に用い、短時間での照射を維持しながら、がんに放射線を集中させ、周囲の臓器への影響を抑えた治療を提供しています。
前立腺がんは放射線治療の効果が高いがんの一つであり、手術と並ぶ重要な治療選択肢です。
強度変調放射線治療(IMRT)とは
強度変調放射線治療(IMRT)は、専用のコンピュータを用いて放射線の強さや当て方を細かく調整し、がんの形に合わせて照射を行う治療法です。複数方向から放射線を当てることで、前立腺に高い線量を集中させながら、膀胱や直腸など周囲の臓器への影響を抑えることができます。
当院では2014年より前立腺がんに対するIMRTを導入し、治療を行ってきました。
従来の放射線治療(3次元原体照射:3D-CRT)と比べ、副作用を抑えつつ、より高い治療効果が期待できます。
VMATによる短時間・高精度な治療
VMAT(強度変調回転放射線治療)は、IMRTを発展させた治療法で、放射線治療装置が体の周囲を連続的に回転しながら照射を行います。 この方法により、従来は約7分かかっていた照射時間が、約1分半程度まで大幅に短縮されました。 治療室への入室から退出までの時間も10分未満(従来は15分程度)となり、患者さんの負担が軽減されています。
DWA(Dynamic Wave Arc)― VMATをさらに発展させた治療
当院では2023年より、VMATをさらに発展させたDWA(Dynamic Wave Arc)による治療を導入しています。DWAは、Vero4DRTという装置の特長を活かした照射方法で、VMATと同様に短時間での照射が可能です。治療時間自体はVMATとほぼ変わりませんが、通常の回転照射に加えて装置のリング部分も動かすことができるため、より多方向から立体的に放射線を当てることが可能になります。これにより、がんの形によりよく合わせた照射ができ、周囲の正常な臓器への影響をさらに抑えた、より精度の高い治療を行うことができます。
現在、当院の前立腺がんに対する放射線治療では、DWAを主に用いています。
放射線治療では、治療中に体を動かさず静止していることが重要です。
治療時間が短くなることで、身体的な負担だけでなく、不安や緊張といった心理的ストレスの軽減にもつながります。当院では、治療効果と安全性の両立を大切にし、患者さんが安心して治療を受けていただける放射線治療を提供しています。
前立腺がんに対するDWA照射

治療の精度と低侵襲の両立を重視した前立腺がん放射線治療の提供
金マーカーやハイドロゲルスペーサーを使用しない当院の前立腺がん放射線治療
前立腺は、膀胱や直腸の状態によって、わずかに位置が動く臓器です。
そのため、前立腺がんの放射線治療では、毎回の治療で前立腺の位置を確認しながら、正確に照射を行うことがとても重要です。また同時に、直腸に当たる放射線の量をできるだけ減らすことも大切なポイントとなります。
治療の精度と安全性を高める目的で、
• 前立腺の位置を確認するために金マーカー(金属の目印)を前立腺内に埋め込む方法
• 直腸への放射線を避けるために、前立腺と直腸の間にハイドロゲルスペーサーを注入する方法
が用いられることがあります。
これらはいずれも、麻酔をして体内に器具を入れる処置を伴う治療方法です。
当院では、治療装置に内蔵された CBCT(コーンビームCT)装置を用いて、治療直前に前立腺周囲の画像を撮影し、臓器の位置を確認しています。 このため、体内に金マーカーを埋め込むことなく、前立腺の位置を確認・補正しながら、安全で精度の高い放射線治療を行うことが可能です。加えて、2023年に治療計画を作成する専用のコンピュータを更新し、DWA(Dynamic Wave Arc)による治療が可能となりました。これにより、以前よりもさらに前立腺に放射線を集中させながら、直腸への線量を効果的に抑える線量分布を作成できるようになりました。そのため、体内にハイドロゲルスペーサーを注入する処置を行わなくても、安全性に配慮した放射線治療が可能となっています。これにより、金マーカーやハイドロゲルスペーサーを体内に入れるという処置の侵襲を避けながら、安全性と治療精度の両立を図っています。
前立腺がんの治療方法について - ロボット手術(RALP)と放射線治療 -
前立腺がんには、いくつかの有効な治療方法があります。
当院では、hinotori®によるロボット支援手術(RALP)と高精度な放射線治療のいずれも行っており、患者さんの状態やご希望に応じて治療を選択することが可能です。
どちらの治療にもそれぞれの特徴があり、「どちらが優れているか」ではなく、「どちらが自分に合っているか」を考えることが大切です。
ロボット支援手術について
ロボット支援手術は、医師がロボットを操作して行う前立腺の摘出手術です。
hinotoriは、繊細で正確な操作が可能な日本発の手術支援ロボットで、低侵襲な手術を行うことができます。
メリット
• がんを摘出する治療であり、治療が一度で完結する
• 摘出した前立腺を病理検査で詳しく調べることができる
• 若年の方や体力のある方では選択されることが多い
• 放射線治療を受けていない状態からの治療であるため、再発時に放射線治療が選択肢として残る
デメリット・注意点
• 手術であるため、全身麻酔が必要
• 入院が必要となる
• 尿失禁や性機能への影響が起こる可能性がある
• 体への負担は放射線治療より大きくなる場合がある
放射線治療について
放射線治療は、前立腺を摘出せず、体の外から放射線を当ててがんを治療する方法です。
当院ではDWAまたはVMATといった高精度な放射線治療を用いて、周囲の臓器への影響を抑えた治療を行っています。
メリット
• 手術を行わない治療であり、体への負担が比較的少ない
• 通院治療が可能で、日常生活を続けながら治療を受けられる
• 高齢の方や持病のある方でも選択しやすい
• 尿失禁が起こる頻度は手術に比べて少ないとされています
デメリット・注意点
• 治療は数週間にわたって行われる
• 効果がゆっくり現れるため、治療後すぐに結果が分かるわけではない
• 排尿症状や直腸症状などの副作用が起こる可能性がある
• 放射線治療後の再発では、追加の治療選択肢が限られる場合がある(当院では再発病変に対して追加のロボット手術や再度の放射線治療も慎重に行っています)
前立腺がんの治療の選択で大切なこと
前立腺がんの治療では、治療成績に大きな差がない場合も多く、
「年齢」「生活スタイル」「仕事」「治療後に大切にしたいこと」によって、最適な治療は変わります。
• できるだけ一度で治療を終えたいのか
• 体への負担を少なく治療したいのか
• 仕事や日常生活をどの程度優先したいか
こうした点を踏まえ、患者さんご自身が納得して治療を選ぶことが何より重要です。
当院では、ロボット手術と放射線治療の両方を行っている立場から、特定の治療に偏らず、中立的な情報提供を心がけています。
疑問や不安があれば、どんなことでもご相談ください。
当院では、西館1階で放射線治療科と泌尿器科の診療をおこなっております。
同じフロアで診療を行っているため、前立腺がんの治療において、泌尿器科医と放射線治療医が密に連携しながら診療を進めることが可能です。
手術(ロボット支援手術)と放射線治療のいずれについても、一つの場所で継続して相談・診療を受けていただける体制を整えています。
治療方針についても、専門の異なる医師の意見を踏まえながら検討できるため、患者さんにとって偏りのない情報をもとに、納得して治療を選択していただくことを支援させて頂きます。
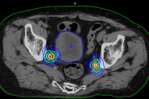
少数個転移(オリゴ転移)に対する定位放射線治療(ピンポイント照射)について
がんが他の部位に転移している場合でも、転移の数が限られている状態を「少数個転移(オリゴ転移)」と呼びます。 このような状態では、転移した病変一つひとつを狙って治療することで、病状の進行を抑えることが期待できる場合があります。
少数個転移に対する治療法の一つが、定位放射線治療(ピンポイント照射)です。
定位放射線治療は、病変の位置を正確に捉え、周囲の正常な組織への影響をできるだけ抑えながら、狙った部位に集中的に放射線を照射する高精度な治療法です。
骨やリンパ節などに少数の転移がみられることがあり、こうした病変に対して定位照射を行うことで、薬物療法(ホルモン療法や化学療法)と組み合わせた治療の選択肢が広がる場合があります。
また、少数個転移に対して長期間の化学療法(抗がん剤治療)を行っている場合、定位照射を行うことで、化学療法を中止または休止できる可能性が生じることがあります。
これにより、抗がん剤による全身の負担や副作用の軽減、さらには経済的な負担の軽減につながる場合があります。
当院では、少数個転移に対する定位放射線治療を、4回から20回に分けて行っています。
転移の部位や、周囲に副作用が起こりやすい臓器が近い場合には、照射回数を増やして1回あたりの放射線量を抑え、安全性を高める工夫を行っています。
治療は、外来通院でも、入院でも可能で、患者さんの体調や生活スタイル、ご希望に応じて選択できます。 なお当院では、オリゴ転移に対する治療に加え、従来より保険適用となっている肺・肝臓・脳に対する定位放射線治療も同様に行っています。
すべての方が対象となるわけではありませんが、病状やこれまでの治療経過を十分に考慮したうえで、治療の目的や期待される効果、考えられるリスクを丁寧に説明し、患者さんと相談しながら治療方針を決定しています。
なお、病状によっては、定位放射線治療(ピンポイント照射)が適さない場合があります。
たとえば、転移が広い範囲に及んでいる場合や、複数の臓器に多くの転移がみられる場合などでは、病状全体を考慮した治療が必要となります。
少数個転移に対して、病変の位置や数などの理由から定位放射線治療(ピンポイント照射)の適応とならない場合でも、当院では治療の選択肢がなくなるわけではありません。
そのような場合には、痛みや不快な症状を和らげることを目的とした放射線治療(緩和照射)をご提案しています。緩和照射は、がんによる痛みや圧迫感などの症状を軽減し、日常生活の質(QOL)を保つことを目的とした治療です。患者さんの症状や体調、ご希望を大切にしながら、無理のない範囲で行える治療方法を一緒に考えていきます。
当院では、病状の段階に応じて、その時点で最も適した放射線治療を提案することを大切にしています。

前立腺がんの骨盤内リンパ節転移(複数個)に対する定位照射

食道がん 食道周囲リンパ節に対する定位照射

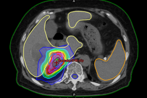
肝臓がんに対する定位照射

腎臓がんに対する定位照射
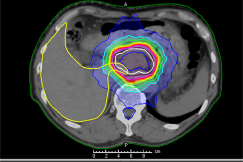
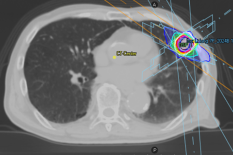
肺がんに対する定位放射線治療(肺がんのピンポイント治療)
当院の放射線治療装置(Vero4DRT)は、肺がんに対する定位放射線治療(ピンポイント照射)を得意としています。定位放射線治療は、病変を正確にとらえ、多方向から1点に向けて放射線を集中して照射する治療法です。
周囲の正常な肺への影響をできるだけ抑えることができるため、副作用が少ない治療とされています。実際に、治療中や治療後に自覚症状がほとんどみられない方も多くいらっしゃいます。
肺がんに対する定位放射線治療の適応は、大きさがおおよそ5cm以下(できれば3cm以下)で、リンパ節転移のない肺がんとなります。
リンパ節転移がある場合には、病状に応じて通常の放射線治療を行います。
治療の流れとしては、初回の外来受診時に治療計画用のCT撮影を行います。 この際、毎回同じ姿勢で正確に治療を行うために、体が動かないように患者さん一人ひとりに合わせた固定具を作成します。
放射線治療は、1回あたり約20分程度で、腫瘍の場所や大きさに応じて4回から8回行います。治療期間中の副作用は少なく、外来通院で治療を受けていただくことが可能です。

肺がんに対する定位放射線治療

肺がんに対する放射線治療(多方向からのビームの配置)
緩和照射(症状を和らげるための放射線治療)
緩和照射とは、がんの進行や転移によって生じる痛みや苦痛、日常生活の支障となる症状を和らげることを目的とした放射線治療です。
がんを完全に取り除くことだけを目標とするのではなく、症状を軽減し、生活の質(QOL)を保ちながら過ごしていただくことを大切にした治療です。
進行したがんや、ほかの部位に転移がみられる場合でも、放射線治療によって症状の改善が期待できることがあります。
緩和照射で改善が期待できる症状
がんは大きくなることで、周囲の神経や臓器を圧迫し、さまざまな症状を引き起こします。
緩和照射では、原因となっているがんに放射線を照射することで、以下のような症状の改善が期待できます。
• 骨転移による痛みの緩和
• 脳転移による頭痛、吐き気、麻痺などの神経症状の緩和
• がんによる出血(血痰、下血など)の止血
• 神経の圧迫によるしびれや麻痺の緩和
• 気道の狭窄・閉塞による呼吸困難の緩和
• 消化管の狭窄・閉塞による飲み込みにくさの改善
治療回数・治療期間について
緩和照射の治療回数や期間は、症状の強さ、がんの広がり、全身状態などを考慮したうえで、医師が提案することが多く、患者さんごとに異なります。
標準的には10回程度の治療が多いですが、
• 比較的全身状態が良い場合には20回程度
• 症状の改善を早く目的とする場合には5回
• 状態によっては1回のみ
といったように、無理のない治療計画を立てます。
また、少数個転移(オリゴ転移)の場合には、定位放射線治療(ピンポイント照射)を提案することもあります。
全肝照射について
肝臓にがんが広範に転移している場合には、全肝照射を行うことがあります。
全肝照射は、消化管などの周囲臓器への影響をできるだけ避けながら、肝臓全体に放射線を照射する治療です。
当院では、原則として1回の照射で実施しています。
肝転移による痛み、腹部の張り、食欲低下などの症状を和らげることを目的として行われ、短期間で症状の改善が期待できる場合があります。
腹水に対するCART(腹水濾過濃縮再静注療法)について
肝臓へのがんの転移などにより、お腹に腹水がたまり、張りや苦しさを感じる場合があります。
そのような症状に対して、当院ではCART(腹水濾過濃縮再静注療法)を行っています。
CARTは放射線治療ではありませんが、腹水によるつらい症状を和らげることを目的とした治療です。一度腹水を体外に取り出し、不要な成分を取り除いたうえで、体に必要なタンパク成分を濃縮して体内に戻すことで、
• お腹の張りや苦しさの軽減
• 呼吸のしやすさの改善
• 体力や食欲の回復
などが期待できます。
腹水を単に抜くだけの場合と比べて、体への負担を抑えながら症状の改善を目指せる治療であり、全肝照射などの放射線治療と組み合わせて行うことも可能です。
患者さんの全身状態や症状を考慮しながら、その時点で最も負担の少ない方法を提案しています。
緩和照射は、がんと向き合いながら日常生活を続けるための大切な治療のひとつです。
当院では、病状の段階や患者さんの体調、ご希望を丁寧に伺いながら、その時点で最も適した放射線治療を提案することを心がけています。
つらさや不安があるときは、どうぞ遠慮なくご相談ください。
去勢抵抗性前立腺がんに対するRI内用療法
ゾーフィゴ静注について
ゾーフィゴ静注は、去勢抵抗性前立腺がん(CRPC)に伴う骨転移を対象とした治療で、放射性医薬品を点滴で体内に投与する方法です。外から放射線をあてる治療とは異なり、体の中から骨転移に作用します。
ゾーフィゴに含まれる「ラジウム-223」は、骨の成分であるカルシウムと似た性質をもち、がんが転移している骨に集まりやすいという特徴があります。そこで放出されるアルファ線が、骨転移したがん細胞の増殖を抑え、痛みの緩和や病状進行の抑制につながることが期待されています。
骨シンチグラフィで骨転移が確認されており、内臓への転移(リンパ節・肝臓・肺など)がない場合に適応となります。患者さんの病状やこれまでの治療経過を踏まえ、他の治療法と組み合わせながら適応を判断します。
予約申込について
他医療機関の先生方へ
当院では、前立腺がんに対する高精度放射線治療を中心に、さまざまな部位の悪性腫瘍に対する放射線治療を行っています。根治を目的とした治療に加え、症状緩和を目的とした放射線治療(緩和照射)にも積極的に取り組んでおり、脳転移・骨転移・リンパ節転移をはじめ、止血目的の照射や消化管狭窄・閉塞の改善など、幅広い症例に対応しています。
放射線治療の適応の有無に判断を迷われる場合や、「まずは放射線治療の可能性を検討したい」といった段階でも、当院放射線科医師が個別にご相談をお受けし、適応について検討いたします。
ご紹介・ご相談がございましたら、どうぞお気軽にご連絡ください。
患者さんにとって最適な治療選択となるよう、医療機関同士の連携を大切にした診療を行ってまいります。
ご紹介・ご相談の流れについて
下記の予約申込用紙は、インターネットブラウザ上またはダウンロード後に、 PDFファイルへ直接入力していただくことが可能です。ご入力後は、そのまま印刷のうえ、FAXまたはご持参ください。
また、ご紹介前の段階での適応相談も承っております。
その際には、予約申込用紙とあわせて、CT・MRI・PETなどの画像データ(CD-R)を着払いにてお送りください。内容を確認のうえ、後日ご返答いたします。
他の医療機関で治療を受けられている方へ(当院での放射線治療をご検討中の患者さんへ)
現在、他の医療機関で治療中の方も、当院での放射線治療についてご相談いただけます。
当院の放射線治療に関するホームページをご覧いただき、誠にありがとうございます。
当院では、他院でがんの診療を受けられている患者さんからの放射線治療に関するご相談もお受けしています。 がん治療では、これまでに行われた検査や治療内容、治療経過の情報が、治療方針を検討するうえで非常に重要となります。どのような放射線治療が可能かを判断するためには、現在の病状を正確に把握することが欠かせません。
当院での放射線治療科受診をご希望される場合には、まずは現在診療を受けている主治医にご相談いただくことをおすすめしています。主治医を通して紹介状をご準備いただくことで、これまでの経過や検査結果を共有でき、医療機関同士の連携もよりスムーズに行うことが可能となります。 当院では、主治医の先生と情報を共有しながら、患者さんにとって最適な治療となるよう、連携を大切にした診療を行っています。
ご不明な点がございましたら、どうぞお気軽にお問い合わせください。
なお、幅広く治療方針について話を聞きたいという方は、セカンドオピニオンをおこなっております。
→ セカンドオピニオンについて詳しくはこちら >>
アクセス
所在地岡山県岡山市北区伊島北町6−3
